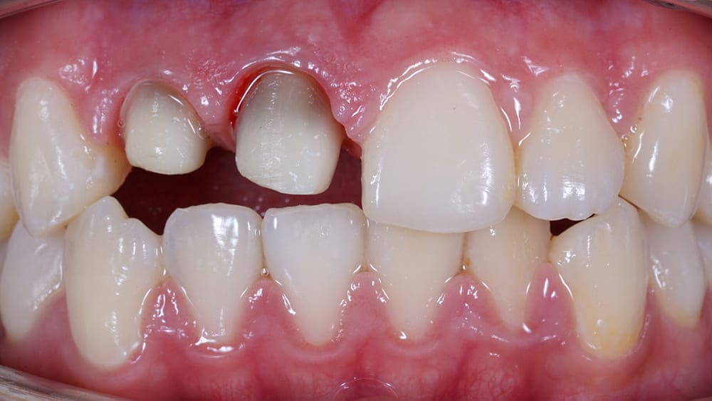
Показания
Металлокерамические коронки устанавливаются на передние и жевательные зубы. Возможно фиксирование коронки на импланте. Основное показание – разрушение коронковой части зуба или ее отсутствие. Также мы рекомендуем установку металлокерамической коронки, если у пациента:
- потеря блеска, изменение цвета, формы зуба;
- сколы, трещины на зубной эмали;
- кариес;
- патологическая стираемость;
- замена старых коронок;
- аномальное расположение зубов, которое невозможно исправить другими методами.
Недостатки
- необходимо удалять нерв перед установкой металлокерамической коронки;
- большая обточка, нежели при установке других видов коронок.
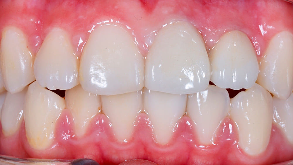
Преимущества
Металлокерамическая коронка выглядит как колпачок, облицованный керамической массой. Готовая коронка надевается на подготовленный зуб. Каркас изготавливается из металлических сплавов. Именно на него приходится вся нагрузка и функция сохранения корня. В нашей клинике металлический каркас изготавливается на немецком цифровом оборудовании с применением 3D технологий. Все происходит автоматически — это гарантирует качественное изготовление каркаса, в отличии от устаревшего способа изготовления методом литья.
Снаружи каркас покрыт слоем керамической массы. По цвету керамика полностью идентична натуральному тону эмали и подбирается индивидуально под каждого пациента.
Плюсы металлокерамических коронок:
- Прочность и надежность. Это достигается благодаря показателям материала и технологии производства.
- Эстетика. Металлокерамические коронки выглядят так же естественно и натурально, как настоящие зубы.
- Длительный эксплуатационный период до 15 лет. Материал не подвергается действию пищевых красителей и сохраняет свой первоначальный вид весь срок службы.
- Финансовая выгода. Обходится реставрация зуба металлокерамической коронкой недорого. Но при этом эстетично выглядит и полноценно выполняет свои функции. Не зря в стоматологии этот вид протезирования считается «золотым стандартом».
- Простота в изготовлении и установке.
Недостатки:
- возможна аллергия на металл;
- необходимость в препарировании и депульпации (удалении нерва);
- неэстетичный вид протезов без плечевых масс.
- со временем возможно изменение цвета десны в районе шейки зуба – металл, окисляясь, изменяет розовый цвет десны.
Есть много предложений в Москве с низкой ценой на металлокерамические коронки. Однако эти коронки изготавливаются без плечевой массы. Нижняя часть таких моделей (шейка зуба) окаймлена темной линией. Это придает крайне неприглядный вид. В нашей клинике, наравне с обычными металлокерамическими коронками, вы можете заказать коронки с плечевой массой. Особенные пропорции составляющих коронки обеспечивают комфортное ношение изделия, не провоцируют раздражение и изменение цвета десен, их травмирование.
